Contents

SynopsisCodesLook ForDiagnostic PearlsDifferential Diagnosis & PitfallsBest TestsManagement PearlsTherapyReferences

View all Images (5)

Peritonitis
Other Resources UpToDate PubMed

Peritonitis

Contributors: Neil Mendoza MD, Christine Osborne MD, Paritosh Prasad MD
Other Resources UpToDate PubMed

Synopsis

Inflammation of the visceral and parietal peritoneum resulting in acute, severe abdominal pain with fever and diffuse abdominal tenderness with rigidity and guarding, most often secondary to an infectious or inflammatory process. Peritonitis can be primary, secondary, or a result of continuous peritoneal dialysis:
  • Primary (spontaneous) bacterial peritonitis – Occurs without an apparent source of contamination and is thought to be secondary to bacterial translocation across the bowel. It is most commonly found in patients with underlying cirrhosis and ascites, but may be found in patients with congestive heart failure, systemic lupus erythematosus, chronic viral hepatitis, or acute viral hepatitis. Presentation can be subtle, and up to 30% of patients may be asymptomatic. Fever is common, but presentation can be marked by altered mental status or abdominal pain in those with cirrhosis. This infection is often paucibacillary, and culture is not uncommonly negative. When an organism is identified, common organisms include Escherichia coli, streptococci, enterococci, and pneumococci.
  • Secondary peritonitis – Results from the contamination of the peritoneum from spillage from an intraabdominal viscus, and results in gradually worsening abdominal pain as the parietal peritoneum becomes irritated. Pain, fever, and guarding are common presenting symptoms. Polymicrobial infections are common, including gram positive, gram negative, and anaerobes.
  • Peritonitis secondary to ambulatory peritoneal dialysis (PD) – Presents with fever, diffuse abdominal pain, purulence at PD catheter site, guarding, and cloudy peritoneal fluid. Pathogens responsible are commonly skin flora such as Staphylococcus organisms.
In immunocompromised patients, clinical signs of peritonitis may be much subtler, and a high index of suspicion is necessary to avoid possible rapid clinical decompensation.

Codes

ICD10CM:
K65.9 – Peritonitis, unspecified

SNOMEDCT:
48661000 – Peritonitis

Look For

Subscription Required

Diagnostic Pearls

Subscription Required

Differential Diagnosis & Pitfalls

To perform a comparison, select diagnoses from the classic differential

Subscription Required

Best Tests

Subscription Required

Management Pearls

Subscription Required

Therapy

Subscription Required

References

Subscription Required

Last Reviewed:03/19/2017
Last Updated:01/18/2021
Copyright © 2026 VisualDx®. All rights reserved.
Peritonitis
A medical illustration showing key findings of Peritonitis : Abdominal pain, Chills, Diarrhea, Fever, Nausea, Vomiting, Abdominal distension, Ascites, Rebound tenderness, WBC elevated
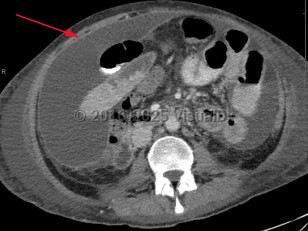
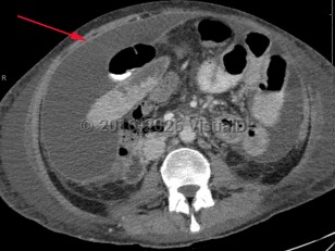
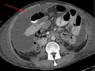
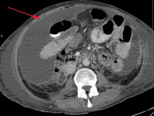
Imaging Studies image of Peritonitis - imageId=8341512. Click to open in gallery.  caption: '<span>Enhanced axial CT scan of the abdomen and pelvis demonstrates large amount of loculated peritoneal fluid with enhancing rim in the abdomen and pelvis.</span>'
Enhanced axial CT scan of the abdomen and pelvis demonstrates large amount of loculated peritoneal fluid with enhancing rim in the abdomen and pelvis.
Copyright © 2026 VisualDx®. All rights reserved.