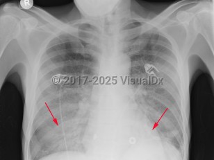
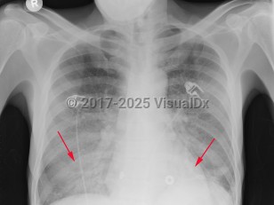
Pneumocystis jirovecii pneumonia
See also in: PulmonaryAlerts and Notices
Important News & Links
Synopsis
The distribution of the organism is worldwide, and most healthy children are exposed to it within the first 3 years of life, likely due to the inhalation of airborne spores. Some people exposed to P. jirovecii may remain colonized.
Disease manifestations are seen in the setting of immunosuppression.
Outbreaks of PCP among men who have sex with men heralded the onset of the human immunodeficiency virus (HIV) epidemic. PCP is an AIDS-defining illness and is typically seen in patients infected with HIV with a CD4 cell count of <200/mm3. With improvements in antiretroviral therapy and routine prophylaxis against P. jirovecii in patients infected with HIV and low CD4 cell count, the incidence of infection in this population has decreased, although it remains an important pathogen.
Patients with certain primary immunodeficiencies, including those with severe combined immunodeficiency, are at risk for PCP. Other patients are also at particular risk for PCP due to therapeutic immunosuppression. These include solid organ and autologous and allogenic stem cell transplant recipients. Hospital outbreaks of PCP on solid organ transplantation units have been reported. Patients taking high-dose glucocorticoids (generally considered 20 mg/day for 4 weeks) or other immunosuppressive agents (including tumor necrosis factor-alpha inhibitors) for connective tissue disease, inflammatory bowel disease, or dermatologic conditions are also at increased risk for PCP. Patients undergoing therapy for leukemia or who are receiving T cell-depleting agents or rituximab for other malignancies are also at risk for PCP.
Typical onset in patients with HIV is insidious with a fever, dry cough, and progressive shortness of breath with exertion. There may be associated chest pain. Hemoptysis is not typical. Symptoms may progress for weeks or months before patients seek medical care.
The symptoms are typically more acute in onset and more severe in non-HIV-infected patients. These patients may present with respiratory failure.
Physical examination usually reveals fever, tachycardia, and tachypnea. Breath sounds are often normal, but in up to one-third of adults, rales are present. Impaired oxygenation is a common finding, particularly with ambulation, with varying degrees of hypoxemia and elevated alveolar-arterial (A-a) oxygen gradient.
Codes
B59 – Pneumocystosis
SNOMEDCT:
79909001 – Pneumocystis carinii
Look For
Subscription Required
Diagnostic Pearls
Subscription Required
Differential Diagnosis & Pitfalls
Subscription Required
Best Tests
Subscription Required
Management Pearls
Subscription Required
Therapy
Subscription Required
Drug Reaction Data
Subscription Required
References
Subscription Required
