Acinetobacter infection
Alerts and Notices
Important News & Links
Synopsis
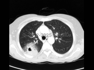
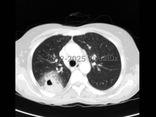
Bacterial infections due to Acinetobacter species are typically encountered in health care settings and can be particularly difficult to treat due to the propensity of the organism to incorporate multiple antibiotic resistance mechanisms. Hospital outbreaks of multidrug-resistant Acinetobacter infections, including carbapenem-resistant Acinetobacter baumannii (CRAB), have been reported. A wide range of infections are possible with this organism, including bloodstream infections, pneumonia (occasionally even community-acquired pneumonia), urinary tract infections, and wound infections (wound infection in soldiers after traumatic injury have been reported).
Patients who are immunosuppressed, have diabetes, or who are hospitalized (especially in intensive care units) are at increased risk for this infection.
Patients present with symptoms compatible with the site of infection (for example, patients with pneumonia will have respiratory symptoms compatible with pneumonia). Fever is common. Laboratory studies will frequently reveal leukocytosis. The organism grows readily in standard culture media, and infection can be diagnosed by isolating the organism.
Patients who are immunosuppressed, have diabetes, or who are hospitalized (especially in intensive care units) are at increased risk for this infection.
Patients present with symptoms compatible with the site of infection (for example, patients with pneumonia will have respiratory symptoms compatible with pneumonia). Fever is common. Laboratory studies will frequently reveal leukocytosis. The organism grows readily in standard culture media, and infection can be diagnosed by isolating the organism.
Codes
ICD10CM:
041.85 – Other specified bacterial agents as the cause of diseases classified elsewhere
SNOMEDCT:
446156008 – Infection due to multidrug resistant Acinetobacter
041.85 – Other specified bacterial agents as the cause of diseases classified elsewhere
SNOMEDCT:
446156008 – Infection due to multidrug resistant Acinetobacter
Best Tests
Subscription Required
References
Subscription Required
Last Updated:04/24/2025
Acinetobacter infection
