Potentially life-threatening emergency
SARS
Alerts and Notices
Important News & Links
Synopsis
SARS (severe acute respiratory syndrome) is an infectious respiratory disease associated with fever, shortness of breath, cough, and pneumonia. The causative agent is a novel coronavirus termed SARS-CoV. The epidemic had its roots in Guangdong province in Southern China in November 2002. Several clusters of cases were identified; many of the early cases had epidemiological links to the live-animal market trade. The World Health Organizaion (WHO) was informed of 305 cases from Guangdong province by February 11, 2003; 100 of these cases were in health care workers, and there were 5 reported deaths.
Concerted efforts from a network of laboratories coordinated by the WHO resulted in identification of the causative agent as a novel coronavirus. Animal species like civet cats, raccoon dogs, Chinese ferret badgers, fruit bats, snakes, and wild pigs have been shown to harbor SARS-CoV. It has been proposed that SARS is a zoonotic infection; seroprevalence studies from asymptomatic animal handlers at markets in Guangdong province showed that 13% of them had antibodies against SARS-CoV. Infection is spread primarily through respiratory droplet as seen in close contact of cases with family members and health care workers. Aerosol-generating procedures in hospitals like intubation, bronchoscopy, nebulization, and suctioning have contributed to nosocomial spread. Fomites may also play a role in transmission. Although the virus has been isolated from urine and stool specimens, the role of feco-oral transmission is unknown.
The incubation period has been estimated to be 2-10 days. There is no evidence of transmission of disease from asymptomatically infected patients or from infected patients prior to the onset of symptoms. Transmission is greatest from severely ill patients, usually during the second week of the illness, peaking at day 10. This is in contrast to most other viral respiratory illnesses, except smallpox, for which ineffectiveness peaks early. There have been no reports of transmission beyond 10 days after fever resolution.
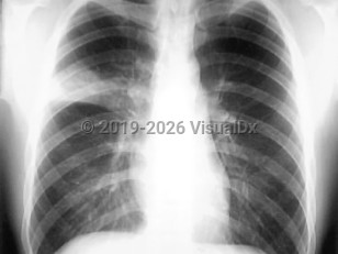
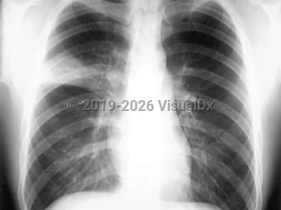
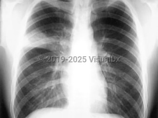
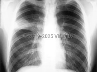
SARS can affect all age groups with a slight bias for females. There may be a prodromal illness consisting of fever, myalgias, headaches, and diarrhea. The respiratory phase starts 2-7 days after the prodrome with a dry cough and mild dyspnea. The spectrum of the illness can vary from a mild variant to a rapid and severe respiratory decline with hypoxia and features of acute respiratory distress syndrome (ARDS). Among hospitalized patients, 10%-20% eventually require mechanical ventilatory support. The physical examination findings may be mild and disproportionate to the chest x-ray (CXR) findings. A petechial rash may be seen. Peripheral blood lymphocytopenia and thrombocytopenia are common. The liver enzymes, creatine kinase, and serum lactate dehydrogenase levels can be elevated. There may be signs of disseminated intravascular coagulation. Acute renal failure has been reported.
Advanced age, comorbid conditions such as heart disease and diabetes, a highl actic acid dehydrogenase (LDH) level, and elevated neutrophil count at admission are poor prognostic factors. The overall case fatality rate of approximately 10% can approach >50% in persons older than 60. A variety of illnesses like restrictive lung disease, abnormal hypothalamic-pituitary function, depression, and post-traumatic stress disorder have been reported in survivors of SARS.
While there have not been any known cases of SARS since 2004, in 2012 the WHO was notified of a new human coronavirus responsible for cases of acute respiratory syndrome. The new virus has been designated Middle East respiratory syndrome coronavirus (MERS-CoV; previously designated HCoV-EMC).
A novel pneumonia-like coronavirus (severe acute respiratory syndrome coronavirus 2 [SARS-CoV-2]) causing an outbreak in Wuhan City, Hubei Province, China, was reported to the WHO at the end of December 2019. On March 11, 2020, the WHO declared COVID-19 a pandemic.
Concerted efforts from a network of laboratories coordinated by the WHO resulted in identification of the causative agent as a novel coronavirus. Animal species like civet cats, raccoon dogs, Chinese ferret badgers, fruit bats, snakes, and wild pigs have been shown to harbor SARS-CoV. It has been proposed that SARS is a zoonotic infection; seroprevalence studies from asymptomatic animal handlers at markets in Guangdong province showed that 13% of them had antibodies against SARS-CoV. Infection is spread primarily through respiratory droplet as seen in close contact of cases with family members and health care workers. Aerosol-generating procedures in hospitals like intubation, bronchoscopy, nebulization, and suctioning have contributed to nosocomial spread. Fomites may also play a role in transmission. Although the virus has been isolated from urine and stool specimens, the role of feco-oral transmission is unknown.
The incubation period has been estimated to be 2-10 days. There is no evidence of transmission of disease from asymptomatically infected patients or from infected patients prior to the onset of symptoms. Transmission is greatest from severely ill patients, usually during the second week of the illness, peaking at day 10. This is in contrast to most other viral respiratory illnesses, except smallpox, for which ineffectiveness peaks early. There have been no reports of transmission beyond 10 days after fever resolution.
SARS can affect all age groups with a slight bias for females. There may be a prodromal illness consisting of fever, myalgias, headaches, and diarrhea. The respiratory phase starts 2-7 days after the prodrome with a dry cough and mild dyspnea. The spectrum of the illness can vary from a mild variant to a rapid and severe respiratory decline with hypoxia and features of acute respiratory distress syndrome (ARDS). Among hospitalized patients, 10%-20% eventually require mechanical ventilatory support. The physical examination findings may be mild and disproportionate to the chest x-ray (CXR) findings. A petechial rash may be seen. Peripheral blood lymphocytopenia and thrombocytopenia are common. The liver enzymes, creatine kinase, and serum lactate dehydrogenase levels can be elevated. There may be signs of disseminated intravascular coagulation. Acute renal failure has been reported.
Advanced age, comorbid conditions such as heart disease and diabetes, a highl actic acid dehydrogenase (LDH) level, and elevated neutrophil count at admission are poor prognostic factors. The overall case fatality rate of approximately 10% can approach >50% in persons older than 60. A variety of illnesses like restrictive lung disease, abnormal hypothalamic-pituitary function, depression, and post-traumatic stress disorder have been reported in survivors of SARS.
While there have not been any known cases of SARS since 2004, in 2012 the WHO was notified of a new human coronavirus responsible for cases of acute respiratory syndrome. The new virus has been designated Middle East respiratory syndrome coronavirus (MERS-CoV; previously designated HCoV-EMC).
A novel pneumonia-like coronavirus (severe acute respiratory syndrome coronavirus 2 [SARS-CoV-2]) causing an outbreak in Wuhan City, Hubei Province, China, was reported to the WHO at the end of December 2019. On March 11, 2020, the WHO declared COVID-19 a pandemic.
Codes
ICD10CM:
J12.81 – Pneumonia due to SARS-associated coronavirus
SNOMEDCT:
398447004 – Severe acute respiratory syndrome
J12.81 – Pneumonia due to SARS-associated coronavirus
SNOMEDCT:
398447004 – Severe acute respiratory syndrome
Look For
Subscription Required
Diagnostic Pearls
Subscription Required
Differential Diagnosis & Pitfalls
To perform a comparison, select diagnoses from the classic differential
Subscription Required
Best Tests
Subscription Required
Management Pearls
Subscription Required
Therapy
Subscription Required
References
Subscription Required
Last Updated:03/29/2020
Potentially life-threatening emergency
SARS
