Contents

SynopsisCodesDifferential Diagnosis & PitfallsBest TestsReferences

View all Images (3)

Carotid-cavernous fistula
Other Resources UpToDate PubMed

Carotid-cavernous fistula

Contributors: Ryan Hoefen MD, PhD
Other Resources UpToDate PubMed

Synopsis

Acquired vascular abnormality involving communication between the cavernous sinus and the carotid artery or branches. It may arise spontaneously or through injury by blunt head trauma, surgery, or vascular and connective tissue disorders, or following cavernous carotid aneurysm rupture. Onset may be delayed. Carotid-cavernous fistula (CCF) are classified as high-flow (direct) or low-flow (indirect), depending on the pressure and direction of the communicating arterial blood flow. Common symptoms include bruit, proptosis, diplopia, blurred vision, visual loss, conjunctival injection, eye pain, headache, and chemosis. CCF affects men and women about equally. Rarely, they appear bilaterally.

Treatment depends on the classification of the CCF, with endovascular obliteration being the first approach to closure, although multiple procedures may be necessary.

Codes

ICD10CM:
I67.1 – Cerebral aneurysm, nonruptured

SNOMEDCT:
302213007 – Caroticocavernous sinus fistula

Differential Diagnosis & Pitfalls

To perform a comparison, select diagnoses from the classic differential

Subscription Required

Best Tests

Subscription Required

References

Subscription Required

Last Updated:01/14/2016
Copyright © 2026 VisualDx®. All rights reserved.
Carotid-cavernous fistula
A medical illustration showing key findings of Carotid-cavernous fistula : Eye pain, Blurred vision, Headache, Diplopia, Unilateral distribution, Vision loss, Conjunctival injection, Proptosis, Chemosis
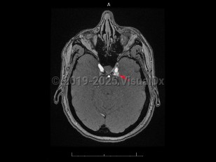
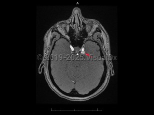
Imaging Studies image of Carotid-cavernous fistula - imageId=7872355. Click to open in gallery.  caption: '<span>Axial post-contrast MR image demonstrates abnormal opacification of the left cavernous sinus, consistent with  carotid-cavernous fistula.</span>'
Axial post-contrast MR image demonstrates abnormal opacification of the left cavernous sinus, consistent with carotid-cavernous fistula.
Copyright © 2026 VisualDx®. All rights reserved.