Renal infarction
Alerts and Notices
Important News & Links
Synopsis
Atrial fibrillation is the most common cause overall, but infectious endocarditis, renal artery occlusion following aortic or renal interventions, polyarteritis nodosa, trauma, underlying hypercoagulable states, and cocaine use are other etiologies.
Renal infarction is felt to be a rare condition with incidence varying based on study: 1.4% in autopsy studies and 0.007% based on emergency department data. However, it is also an underrecognized condition and often missed.
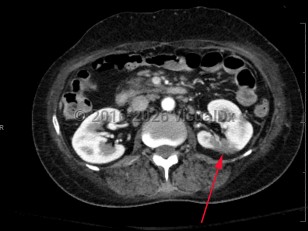
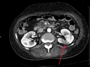
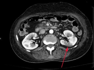
Symptoms often mimic other renal pathology, including acute onset of flank pain or abdominal pain, hematuria, and occasionally fever or vomiting; thus, diagnosis can be delayed. Physical examination findings include acute hypertension and, rarely, other signs of extrarenal embolization, including focal neurologic deficits.
Codes
N28.0 – Ischemia and infarction of kidney
SNOMEDCT:
45456005 – Renal infarction
Look For
Subscription Required
Diagnostic Pearls
Subscription Required
Differential Diagnosis & Pitfalls
Subscription Required
Best Tests
Subscription Required
Management Pearls
Subscription Required
Therapy
Subscription Required
Drug Reaction Data
Subscription Required
References
Subscription Required
Last Updated:03/12/2024
