Multiple hereditary exostoses
Alerts and Notices
Important News & Links
Synopsis
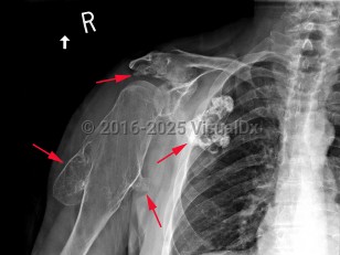
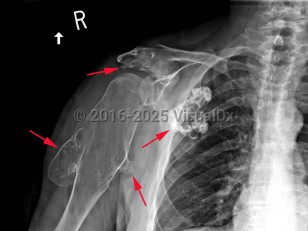
A rare, autosomal dominant genetic condition resulting in the development of multiple osteochondromas (exostoses) at the metaphyses or diaphyses of long bones, commonly affecting the vertebrae, ribs, limbs, hands, fingers, shoulders, and hips. Caused by mutations in the EXT1 or EXT2 genes. Osteochondromas are benign tumors consisting of bone overgrowths and capped with cartilage. They begin formation during regular bone growth and stop growing when the patient reaches skeletal maturity. The severity of the condition is widely variable. The presence of osteochondromas can cause pain, short stature, various deformities, limb length discrepancy, hip dysplasia, and movement difficulties. The deformities may also cause nerve, blood vessel, or spinal cord compression. Most exostoses remain benign, but some may become malignant.
Codes
ICD10CM:
Q78.6 – Multiple congenital exostoses
SNOMEDCT:
254044004 – Multiple congenital exostosis
Q78.6 – Multiple congenital exostoses
SNOMEDCT:
254044004 – Multiple congenital exostosis
Best Tests
Subscription Required
References
Subscription Required
Last Updated:01/19/2022
Multiple hereditary exostoses
