Perirectal abscess
Alerts and Notices
Important News & Links
Synopsis
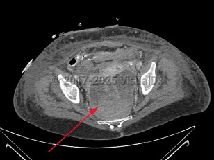
A perirectal abscess is a collection of pus in the perianal area resulting from progression of an infected anal gland.
Perirectal abscesses develop when an anal crypt becomes obstructed, allowing bacterial overgrowth. Complex anorectal abscesses are deeper and classified based on their anatomic location. The American Association for the Surgery of Trauma describes 5 grades of perirectal abscesses: perianal abscess, intersphincteric abscess or ischiorectal abscess, horseshoe abscess, supralevator abscess, and necrotizing soft tissue infection.
Patients complain of severe constant pain in the anal area. Fever and malaise are common. There may be associated pain on defecation. On examination, which should include a digital rectal examination, there may be a palpable area of fluctuance. There may also be overlying cellulitis. Patients with severe necrotizing infection will appear toxic.
Laboratory evaluation may reveal leukocytosis. Patients who suffer from Crohn disease are at increased risk.
The diagnosis is made based on the history and a compatible physical examination. Imaging studies, including computed tomography imaging, may also be helpful.
Drainage of the abscess is the mainstay of treatment. Therapy with antibiotics is often prescribed concurrently. Approximately half of patients will develop a chronic fistula.
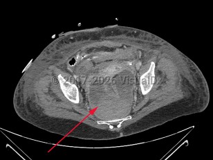
Perirectal abscesses develop when an anal crypt becomes obstructed, allowing bacterial overgrowth. Complex anorectal abscesses are deeper and classified based on their anatomic location. The American Association for the Surgery of Trauma describes 5 grades of perirectal abscesses: perianal abscess, intersphincteric abscess or ischiorectal abscess, horseshoe abscess, supralevator abscess, and necrotizing soft tissue infection.
Patients complain of severe constant pain in the anal area. Fever and malaise are common. There may be associated pain on defecation. On examination, which should include a digital rectal examination, there may be a palpable area of fluctuance. There may also be overlying cellulitis. Patients with severe necrotizing infection will appear toxic.
Laboratory evaluation may reveal leukocytosis. Patients who suffer from Crohn disease are at increased risk.
The diagnosis is made based on the history and a compatible physical examination. Imaging studies, including computed tomography imaging, may also be helpful.
Drainage of the abscess is the mainstay of treatment. Therapy with antibiotics is often prescribed concurrently. Approximately half of patients will develop a chronic fistula.
Codes
ICD10CM:
K61.1 – Rectal abscess
SNOMEDCT:
91669008 – Perirectal abscess
K61.1 – Rectal abscess
SNOMEDCT:
91669008 – Perirectal abscess
Look For
Subscription Required
Diagnostic Pearls
Subscription Required
Differential Diagnosis & Pitfalls
To perform a comparison, select diagnoses from the classic differential
Subscription Required
Best Tests
Subscription Required
Management Pearls
Subscription Required
Therapy
Subscription Required
References
Subscription Required
Last Updated:07/12/2016
Perirectal abscess
