Search Results
DDx Strength: Weak
Chest pain, Dyspnea, 50-59 year old Female

Edit Findings
Acute coronary syndrome
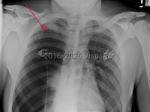
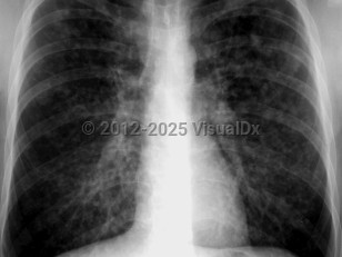
Pneumothorax
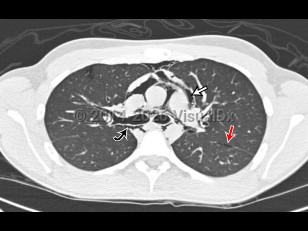
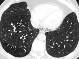
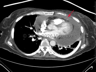
Pulmonary embolismPulmonary embolism
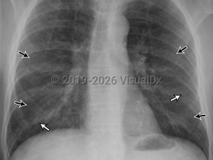
Spontaneous pneumothoraxSpontaneous pneumothorax
Tension pneumothorax
Acute chest syndrome
Aortic dissectionAortic dissection
Respiratory failure
Cardiac tamponadeCardiac tamponade
Acute exacerbation of asthma
Hypertensive emergency
Post-COVID conditions
Acute respiratory distress syndromeAcute respiratory distress syndrome
Myocarditis
PericarditisPericarditis
Flail chest
PneumomediastinumPneumomediastinum
Pneumonic plaguePneumonic plague
Hyperventilation syndrome
Anaphylaxis
Chronic obstructive pulmonary diseaseChronic obstructive pulmonary disease
Acute bronchitis
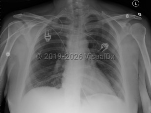
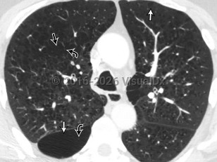
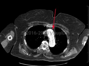
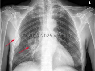
Lung cancerLung cancer
Paroxysmal supraventricular tachycardia
Allergic bronchopulmonary aspergillosis
Aspiration pneumonia
Community-acquired pneumonia
Foreign body aspiration
LegionellosisLegionellosis
Pericardial effusionPericardial effusion
Pulmonary edema
SarcoidosisSarcoidosis
Respiratory syncytial virus infectionRespiratory syncytial virus infection
Ventricular fibrillation
Air embolism
American trypanosomiasisAmerican trypanosomiasis
Cardiogenic shock
Complete atrioventricular block
Drug-induced heart failure
EVALI
Hemothorax
Malignant mesothelioma
Pulmonary emphysemaPulmonary emphysema
Acute eosinophilic pneumoniaAcute eosinophilic pneumonia
Beriberi
Radiation pneumonitis
Varicella pneumoniaVaricella pneumonia
CS tear gas intoxicationCS tear gas intoxication
Diaphragmatic paralysis
Disseminated intravascular coagulationDisseminated intravascular coagulation
Drug-induced pneumonitis
High-altitude pulmonary edema
Somatic symptom and related disorders
Extrinsic allergic alveolitisExtrinsic allergic alveolitis
Nerve agent poisoning
Pulmonary contusion
Ricin poisoning, inhaled
Amniotic fluid embolism
Desquamative interstitial pneumonia
Endometriosis of lung