Search Results
DDx Strength: Weak
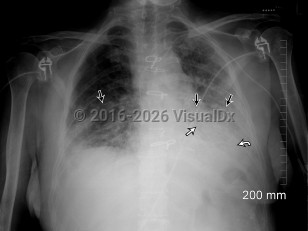
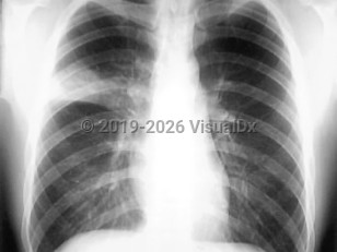
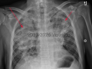
Fever, Cough, 50-59 year old Female

Edit Findings
COVID-19
InfluenzaInfluenza
LegionellosisLegionellosis
EVALI
Avian influenzaAvian influenza
Pneumonic plaguePneumonic plague
Acute bronchitis
Sinusitis
Community-acquired pneumonia
Aspiration pneumonia
SarcoidosisSarcoidosis
Viral pneumonia
Enteric feverEnteric fever
Endemic typhus
Leptospirosis
MeaslesMeasles
Acute chest syndrome
Dengue feverDengue fever
EhrlichiosisEhrlichiosis
Herpes simplex virus pneumoniaHerpes simplex virus pneumonia
VaricellaVaricella
Drug-induced pneumonitis
Lassa fever
Adult-onset Still diseaseAdult-onset Still disease
Argentine hemorrhagic fever
Louse-borne relapsing fever
Psittacosis
Oropouche fever
SARSSARS
Hereditary sensory and autonomic neuropathies
Human parechovirus infection
Common cold
Viral exanthemViral exanthem
Hospital-acquired pneumonia
Allergic bronchopulmonary aspergillosis
Bronchioloalveolar adenocarcinoma
Foreign body aspiration
Human metapneumovirus infection
Cocaine intoxication and use disorder
Respiratory syncytial virus infectionRespiratory syncytial virus infection
ActinomycosisActinomycosis
Acute interstitial pneumoniaAcute interstitial pneumonia
Anaplasmosis
Croup
Lung abscess
Middle East respiratory syndrome coronavirus
Pertussis
Pulmonary empyema
Talaromyces marneffei infectionTalaromyces marneffei infection
Trichosporon sepsisTrichosporon sepsis
Acquired immune deficiency syndrome
Acute eosinophilic pneumoniaAcute eosinophilic pneumonia
Acute febrile neutrophilic dermatosisAcute febrile neutrophilic dermatosis
BlastomycosisBlastomycosis
Bronchial carcinoid tumorBronchial carcinoid tumor
Bronchocentric granulomatosis
Bronchopleural fistula
Chikungunya
Chronic eosinophilic pneumonia
Cryptogenic organizing pneumoniaCryptogenic organizing pneumonia